Fair warning: This post will (immediately) have a foot photo. It’s not gross or anything, but some people hate foot photos.
As discussed before: Something happened to my left foot last September/October. It suddenly began to swell in a localized triangle on the top of my foot, with pain all across that seemed to be coming from above where the foot was broken in 2015. I didn’t suspect it was re-broken in the same place because I could still twist my foot and spread my toes (things I couldn’t do in the two years it was broken), plus it felt almost like stress fractures in those little bones on top, lots of little aching fragments. After several months of avoiding the doctor for fear I’d be told this was just due to my weight, I started off with a round of doctors, specialists, x-rays, and MRIs. I had to call radiology to get my MRI results because the doc wouldn’t give them to me until our appointment, and they showed no fractures etc. So then I just had to wait. My appointment was yesterday.
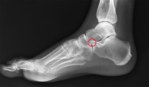
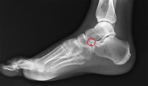
My orthopedic surgeon showed me a cross-section of my foot via the MRI. (I’m still working to get a copy of this photo.) Below is a photo of a normal foot x-ray (not my foot). There’s a red circle on the part of the calcaneus (heel bone) where I had the fracture in 2015-2017. Unfortunately, I never got a photo from that original MRI in Dec 2016, but essentially the fracture went almost all the way through that little nubbin on the top of the bone, where the red circle is. The orthopedist then told me that the fracture nearly cut the entire nubbin off! I’m using this photo as reference for what my current MRI shows, until I can (hopefully) get a copy of the new photo.
My current MRI shows no fractures or tendon/ligament tears. Instead, that entire nubbin on the top of my calcaneus bone has turned white, indicating arthritis in that bone. The doctor says this is injury-induced arthritis stemming from the old break, particularly since that break wasn’t found for 18 months and the ankle-strengthening exercises my doctors kept giving me were keeping the break from healing. The “catastrophic failure to heal” from that time has resulted in arthritis of one section of my heel, a part that connects to every other system in the foot. Additionally, the cartilage between the calcaneus and cuboid (mid-foot bone) has grown jagged on the arthritic side, and there’s a cyst inside the nubbin. The doctor speculates that the sudden swelling of my foot that began six months ago is a result of the cyst weakening and causing systemic foot failure/damage.
Oy.
So I have a few options, none of them particularly good.
- I can get an x-ray-guided steroid injection in the foot to temporarily relieve pain. This is pure symptom-management and will do nothing to improve the foot’s condition.
- I can get expensive and not-covered-by-insurance orthotics that might also provide slightly more support to help with symptom-management.
- I can get really extreme and undergo surgery. This surgery would cut out the entire arthritic part of the bone, scrape out the cartilage between the calcaneus and cuboid, and then put screws into those two bones to try to fuse them into a single bone. It requires three months of non-weight-bearing recovery and will of course affect mobility in the foot for the rest of my life.
If I choose none of these options, I can continue on as I’ve been doing, taking days off when the foot hurts, and managing symptoms on my own. There’s pretty much no way to improve the situation. My foot is just damaged. So I can work with symptom-relief or I can jump into surgery and hope for the best.
I’m not going to opt for surgery, or even for injections/orthotics. Now that I know that I can exercise without fear of snapping a fractured bone or frayed tendon, I’m going to return to business as (semi) usual. However, I’m definitely going to take steps to improve the situation as much as possible naturally:
- more emphasis on stretching and yoga, which I’ve neglected, in order to lengthen the tendons in my legs and take the pressure off my mid-foot
- ditto foam-rolling – I hate that foam-roller but I need to make sure my muscles and tendons are loose so that there’s no extra pressure on the foot due to tightness
- diversify my exercise – the doctor would prefer that I give up walking, hiking, and running altogether, and focus on no- or low-impact exercise such as biking, elliptical, and swimming. I have no ability to do those three, but I can give up running (for now at least), and spend more time on non-mileage-based exercise, as well as avoiding any high-impact moves (like jumping, dancing, etc)
- focus on heavy resistance training for bone-strengthening, to lessen the chance of further arthritic spread/damage
wear the right kind of shoes – I’m happy to hear my doctor specifically recommends Hoka, which is what I’ve worn for the last 18 months! –>- taken plenty of rest days off my feet, especially when swollen or painful, even if I have certain things planned
- prepare to bow out of longer walking/hiking plans if I see no improvement over time
- continue my quest to figure out what I need to do to lose weight (note: the doctor didn’t mention anything about my weight, even in implication, which I appreciate, but I also know that the higher my body weight, the more impact on my foot)
I admit, the news is a bit disheartening. I’m frustrated with the doctors who ignored the continued pain/immobility in my foot back in 2015-2016 and just kept treating it like a persistent sprain instead of running more tests for 18 months. I’m sad that I may never be able to run again, and eventually may have to give up all the exercise I enjoy for exercise that I don’t.
But I’ll keep going. At least now I know that every step I take out on a hike or walk isn’t at great risk of immediate major injury. And that’s good news. One tiny ray of sunshine in all this gloom.





Oh no! Sending sympathy!
LikeLiked by 1 person
Pingback: Wellness Wednesday – A New Hope | The Zen Leaf